|
|||
|---|---|---|---|
|
|
Lipoma em calcâneo: relato de caso e diagnóstico radiológico Lipoma en el calcáneo: un caso clínico y el diagnóstico radiológico Lipoma in calcaneus: case report and diagnostic radiological |
|
|
|
*Médico pela Universidade do Grande Rio – UNIGRANRIO **Professor de Educação Física pela UFRRJ Cirurgião Dentista pela UERJ; Mestrando em Educação Agrícola pela UFRRJ ***Médico. Especialista em Radiologia e diagnóstico por Imagem pela UNICAMP ****Médico. Especialista em Radiologia e diagnóstico por Imagem pela UNICAMP (Brasil) |
Gláucio Oliveira da Gama* Cláudio Oliveira da Gama** Jezreel Correa da Costa*** Sérgio Bulach Gapski**** |
|
|
|
Resumo Relato de caso de paciente sexo feminino, 16 anos, com queixa de dor de discreta intensidade. Foi realizado diagnóstico radiológico de lipoma de calcâneo através de RM com imagens ponderadas em T1 e T2 fat-sat, com e sem contraste. O lipoma é um tumor benigno de tecido adiposo. O lipoma intra-ósseo é o tumor primário mais raro do osso, geralmente encontrado na quarta ou quinta década de vida, sendo raro no calcâneo. O diagnóstico é histopatológico, mas pode ser definido com estudos de imagem, com destaque para Tomografia Computadorizada e Ressonancia magnética. O tratamento preferencial é expectante, com seguimento clinico-radilógico, sendo indicado cirurgia em casos selecionados, tais como imagens sugestivas de lesões malignas. Destacamos a importância da suspeita diagnóstica para o devido diagnóstico radiólogico, sugerindo que tais lesões nao sao tao raras, porém subdiagnoticadas ou diagnosticadas erroneamente. Unitermos: Lipoma. Calcâneo. Radiologia.
Abstract Female patient case report of 16 years with mild intensity pain complaint. Performed radiological diagnosis of lipoma of the calcaneus through MRI images T1-weighted and T2 fat-sat, with and without contrast. The lipoma is a benign tumor of adipose tissue. Intraosseous lipoma is the most rare primary bone tumor, usually found on the fourth or fifth decade of life, is rare in the calcaneus. The histopathological diagnosis is, but can be set with imaging studies, especially Computed Tomography and Magnetic Resonance. The preferred treatment is expectant with clinical follow-radiologic, surgery is indicated in selected cases, such as images suggestive of malignant lesions. We emphasize the importance of diagnostic suspicion for proper radiological diagnosis, suggesting that such injuries are not as rare but subdiagnosed or misdiagnosed. Keywords: Lipoma. Calcaneus. Radiology.
Recepção: 01/09/2015 - Aceitação: 09/10/2015
|
|||
|
|
EFDeportes.com, Revista Digital. Buenos Aires, Año 20, Nº 209, Octubre de 2015. http://www.efdeportes.com/ |
|
|
1 / 1
Relato de caso
Menina de 15 anos, previamente hígida, com queixa de dor de discreta intensidade em região de calcâneo. Realizado diagnóstico por imagem de lipoma de calcâneo através de Ressonância nuclear magnética (RM) de tornozelo, seqüências ponderadas em T2 fat-sat, T1 sem contraste e T1 fat-sat com contraste (gadolíneo) no plano sagital, coronal e axial. Obs.: Não acompanhamos o seguimento clínico da paciente. Oportunamente focamos nossa abordagem no estudo radiológico e diagnóstico não invasivo. Na figura 1, 2 e 3 abaixo observamos: presença de lesão bem delimitada, ovalada, com intensidade de sinal de gordura e calcificação central, localizada no calcâneo medindo 1,8 x 2,3 x 2,6 cm compatível com lipoma do calcâneo.

Figura 1. RM coronal T1e T2 fat-sat.

Figura 2. RM axial T1, T2 fat-sat e T1 fat-sat pós contraste

Figura 3. RM sagital T1 e T2 fat-sat
Revisão de literatura
O lipoma é um tumor benigno de tecido adiposo definido como proliferações mesenquimais que ocorrem nos tecidos extra-esqueléticos de origem não epitelial, excluindo vísceras, meninges e sistema linforreticular (Robbins e Cotran, 2010). O lipoma intra-ósseo é o tumor primário mais raro do osso, representando apenas 0,1% dos tumores ósseos benignos, geralmente encontrado na quarta ou quinta década de vida, sendo os locais mais comuns de envolvimento as metáfises dos ossos longos, encontrado tambem casos em calcâneo, metatarso, espinhal, pelve e crãnio (Erdem, 2010). Mantendo, ainda hoje, etiologia desconhecida, três teorias têm sido propostas: origem traumática com degeneração gordurosa; infecção óssea ou infarto gorduroso com metaplasia; tumor primário de medula gordurosa. A terceira teoria parece ser o mais provável (Kumar, 2015).
Classifica-se de acordo com o tecido onde surge (gordura, músculo, tecido fibroso, vasos e nervos) apesar de existir pouca evidência de que verdadeiramente surjam de suas contrapartes normais e diferenciadas (alguns tumores de tecido mole não apresentam contraparte de tecido normal, mas possuem características clínico-patológicas constantes, que fazem com que sejam designados como entidades distintas. São os tumores de tecido mole mais comuns da vida adulta (Robbins e Cotran, 2010). Subclassificam-se em lipoma convencional, fibrolipoma, angiolipoma, lipoma de células fusiformes, mielolipoma e lipoma pleomórfico.
Algumas variantes têm anormalidades cromossômicas características; por exemplo, lipomas convencionais freqüentemente mostram rearranjos de 12q14-q15, 6p e 13q; lipoma de célula fusiforme e pleomórfico possuem rearranjo de 16q e 13q (Idem, 2010).
O lipoma convencional, subtipo mais comum, é uma massa bem encapsulada de adipócitos maduros que varia consideravelmente em tamanho. Surge no subcutâneo das extremidades e troncos, com mais freqüência durante o meio da vida adulta. Raramente são grandes, intramusculares e mal circunscritos. São moles, móveis e indolores (exceto o angiolipoma) e em geral são curados com uma excisão simples (Idem, 2010).
Segundo Arguelles et al (1988) os lipomas sob o prisma de sua localização, podem se diferenciar em três tipos: lipomas de partes moles, que secundariamente afetam os ossos, lipoma periosteal e lipoma intra-ósseo, que se origina da cavidade medular. Geralmente indolor até que alcance dimensão suficiente para serem palpáveis e visíveis, apresentando crescimento lento.
Em estudo retrospectivo realizado por Oztekin (2008) apresenta dez casos de lipoma intra–ósseo. Sugere que os lipomas intra–ósseos podem ser lesões não tão raras. Reforça que eles têm sido erroneamente diagnosticados como outras lesões ósseas benignas e que a combinação de tomografia computadorizada, ressonância magnética e radiografia é fundamental para diminuir os equívocos de diagnóstico. Em todos os casos, as radiografias revelaram lesões líticas bem delimitadas. Tanto a tomografia computadorizada como a ressonância magnética foram bastante úteis para demonstrar gordura dentro do tumor e o padrão histológico dos lipomas caracterizou–se por tecido adiposo maduro.
Em estudo de 35 novos casos, Campbell (2003) constata idade média de apresentação de 43 anos, sendo equiparada a distribuição por sexo. Os lipomas ocorrem mais freqüentemente no membro inferior (71% do total), especialmente no osso calcâneo (32%). Outros locais comuns incluem as metáfises dos ossos longos, onde as lesões são geralmente excêntricas. Conclui afirmando que embora não haja correlação entre as características histológicas e radiológicas de lipomas intra-ósseos, ocorrem discrepâncias nas imagens radiológicas de acordo com os sítios de surgimento. As lesões do osso calcâneo se localizam habitualmente na região do ângulo do calcâneo, sugerindo que a etiologia possa estar relacionada com stress biomecânico.
No calcâneo, surge como imagem cística radiolúcida com bordas escleróticas e uma calcificação central (imagem de olho de Boi) quase sempre localizada no triângulo claro na base do calcâneo. Milgram apud Kumar (2015) classificou o lipoma em: estágio 1 contendo adipócitos maduros sem necrose e lesões ósseas; estágio 2 contendo necrose gordurosa parcial (devido à compressão de capilares) com calcificação focal, com lesão radiolúcida com calcificação central na radiografia; estágio 3 contendo extensa necrose gordurosa com graus variáveis de formação de cistos, calcificações e formações ósseas reativas.
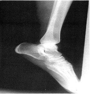
Segundo Caicoya (1982) a clínica do tumor é de dor eventual durante a caminhada associado a edema de pés. Na radiografia convencional, imagem osteolítica com bordos bem definidos e levemente escleróticas (figura 4).
A tomografia computadorizada permite detectar o componente gorduroso do lipoma devido a característica de atenuação negativa deste tecido (figura 5 ) Alguns autores sugerem que outras lesões com histiócitos e vacúolos de gordura ou de degeneração gordurosa, como resultado do enfarte ósseo podem apresentar imagens similares na TC (Arguelles et al, 1998).

Figura 4. Radiografia convencional: imagem osteolitica com bordas bem definidas. Fonte: Caicoya (1982).

Figura 5. Tomografia computadorizada com densidade de gordura no interior lesão. Fonte: Arguelles (1998).

Figura 6. Lesão cística com calcificação central e periférica na esclerose de calcâneo é visto na radiografia lateral do pé (6A).
Hipersinal semelhante à gordura subcutânea, com uma área central que mostra o sinal de baixa intensidade nas imagens axiais e sagitais
ponderadas em T2 e em T1 visto na ressonância magnética (6B). Hipossinal prova a presença de calcificação. Fonte: Erdem (2010)

Figura 7. Osso trabecular misturado com adipócitos e pequenos vasos sanguíneos. Fonte: Kumar (2015)
O diagnóstico definitivo de uma lesão intra-óssea é histopatológico (figura 7), embora a tomografia computadorizada e ressonância magnética trazem imagens de padrões tipicos. Os sintomas dos pacientes são aliviados por meios conservadores e o tratamento de pacientes sem sinais de iminente fratura patológica ou suspeita de malignidade deve ser feito com acompanhamento clínico-radiológico (Erdem, 2010). Segundo Martínez (2007), não se dispõe de muitos trabalhos acerca do seguimento de casos de lipomas intra-ósseos devido a sua baixa ocorrência, sendo o tratamento mais utilizado o desbridamento da lesão através de uma grande janela de osso, com subsequente enchimento do defeito com osso autólogo, hidroxiapatita ou cimento polimetilmetacrilato. A cirurgia fica reservada para lesões muito sintomáticas, fraturas ou risco de fractura, podendo nesse momento se ter a confirmaçao histopatológica.
Conclusão
Lipoma intra-ósseo é uma entidade bem definida, benigna e que pode se desenvolver com variadas apresentações. Dado o surgimento na região do calcâneo ser incomum, o estudo radiológico convencional é somente suspeito, sendo o diagnóstico devidamente confirmado através de estudos por tomografia computadorizada e ressonância magnética. O tratamento de escolha é conservador, com acompanhamento clínico-radiológico das lesões, sendo necessária a abordagem cirúrgica em casos selecionados.
Bibliografia
Arguelles, F., Mínguez, M. F.; Silvestre, A.; Ramos, D.; Gomar Sancho, F. A. (1998). Lipomas intraósseos de calcâneo. Revista Espanhola de Cirurgia Osteoarticular, 33: 166-170.
Caicoya, E.; Llanos, L. F.; Coello, A.; Davila, J.; Tello, F. M. (1982). Lipoma intraosseo de calcâneo. Revista Espanhola de Cirurgia Osteoarticular. 17: 151-154.
Campbell, R. S. D.; Grainger, A. J. (2003). Intraosseous lipoma: report of 35 new cases and a review of the literature. Skeletal Radiology, 32: (4): 209-222.
Bagatur, E. A; Yalcinkaya, M.; Dogan, A.; Gur, S.; Mumcuoglu, E.; Albayrak, M. (2010). Surgery Is Not Always Necessary in Intraosseous Lipoma. ORTHOPEDICS. 33: (5): 306.
Hartmann, L. G. de C. (2014). Musculoesquelético (CBR) Elsevier.
Kumar, A.; Stephani, S. (2015). Intraosseous Calcaneal Lipoma with Subtalar Perforation through Cystic Degeneration: A Case Report. J Korean Foot Ankle Soc. 19: (1): 27-31.
Martínez, M. R. (2007). Lesión quística en calcâneo: Lipoma intraóseo. Reumatol. Clin. 3: (3): 139-42.
Oztekin, O; Argin, M.; Oktay, A.; Arkun, R. (2008). Intraosseous lipoma: radiological findings. Radiol. Bras., São Paulo, 41: (2): 81-86.
Robbins e Cotran (2010). Patologia: bases patológicas das doenças. Rio de Janeiro: Elsevier.
Outros artigos em Portugués
|
Búsqueda personalizada
|
|---|---|
|
EFDeportes.com, Revista
Digital · Año 20 · N° 209 | Buenos Aires,
Octubre de 2015 |
|